切换至 "中华医学电子期刊资源库"

中华胃肠内镜电子杂志 ›› 2026, Vol. 13 ›› Issue (01) : 64 -66. doi: 10.3877/cma.j.issn.2095-7157.2026.01.013

护理园地

新冠后化脓性食管炎重症患者置入中线导管并延长留置时间1例护理管理
邓芬, 郑晓缺, 邱晓珏, 李江钰, 马京京, 金莹, 王芙怡, 陶蕾, 邓牡红()   
  1. 100853 北京,解放军总医院第一医学中心消化内科医学部
  • 收稿日期:2025-07-28 出版日期:2026-02-15
  • 通信作者: 邓牡红
  • 基金资助:
    2024年解放军总医院院级新业务(2024-YWTH-004V)

Nursing management of a critically Ill patient with post-COVID-19 phlegmonous esophagitis undergoing midline catheter placement and extended indwelling time

Fen Deng, Xiaoque Zheng, Xiaojue Qiu   

  • Received:2025-07-28 Published:2026-02-15
引用本文:

邓芬, 郑晓缺, 邱晓珏, 李江钰, 马京京, 金莹, 王芙怡, 陶蕾, 邓牡红. 新冠后化脓性食管炎重症患者置入中线导管并延长留置时间1例护理管理[J/OL]. 中华胃肠内镜电子杂志, 2026, 13(01): 64-66.

Fen Deng, Xiaoque Zheng, Xiaojue Qiu. Nursing management of a critically Ill patient with post-COVID-19 phlegmonous esophagitis undergoing midline catheter placement and extended indwelling time[J/OL]. Chinese Journal of Gastrointestinal Endoscopy(Electronic Edition), 2026, 13(01): 64-66.

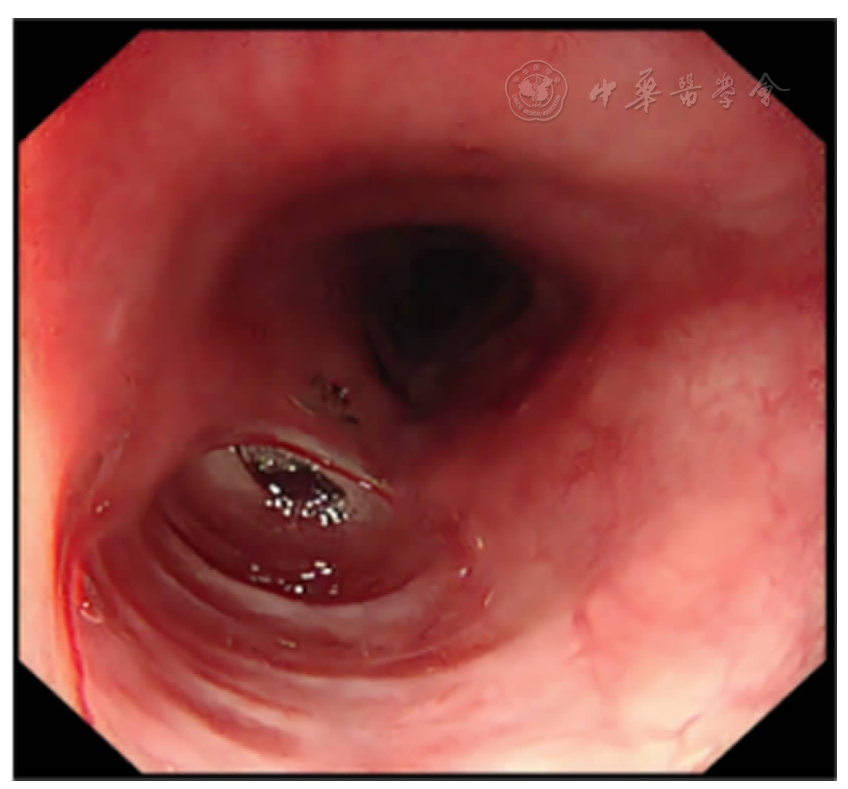
图1 第一次胃镜检查:左侧咽部可见一隆起性病变,右侧食管入口处似可见脓性分泌物,内镜无法通过(2024-9-17)
图2 第二次胃镜检查:小儿内镜可经较大的黏膜缺损进入黏膜下层,其内可见多发分隔(2024-10-18)
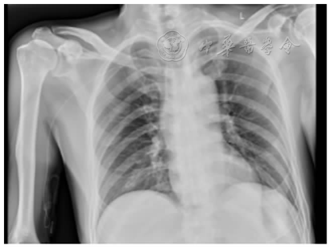
图3 胸片检查导管位置
图4 超声定位导管尖端位置
图5 置管完成
[1]
苗晋鑫,康乐,武思晴,等.食管炎的中西医干预[J].中医学报202338(1):38-42.
[2]
王瑞,赵要松.超声引导下赛丁格技术置入改良中等长度导管在食管癌患者中的应用[J].肿瘤基础与临床202134(1):69-72.
[3]
李秀云,闫凤娟,徐杰,等.超声引导下中等长度导管留置在神经外科重症患者静脉输液中的应用效果[J].重庆医学202453(S1):309-311.
[4]
潘媛,汤莉.基于循证的预警性护理对神经外科改良型中长导管置管患者血流感染预防的作用[J].国际护理学杂志202342(15):2823-2826.
[5]
Rowley S, Clare S.ANTT® standardisation facilitates new efficiencies with a novel partially-sterile Standard-ANTT PIVC Pack[J].Br J Nurs202332(7):S4-S10.
[6]
Tomás-López MA, Cristóbal-Domínguez E, Báez-Gurruchaga O, et al.Experience in the use of midclavicular catheters:An inception cohort study[J].J Clin Nurs202231(15-16):2296-2308.
[7]
李秀云,闫凤娟,徐杰,等.超声引导下中等长度导管留置在神经外科重症患者静脉输液中的应用效果[J].重庆医学202453(S1):309-311.
[8]
喻婷,刘文文.1例改良型中长导管堵管再通的护理[J].中西医结合护理20195(8):184-186.
[9]
O′Grady NP.Prevention of Central Line-Associated Bloodstream Infections[J].N Engl J Med2023389(12):1121-1131.
[10]
Fakih MG, Bufalino A, Sturm L, et al.Coronavirus disease 2019 (COVID-19) pandemic,central-line-associated bloodstream infection (CLABSI), and catheter-associated urinary tract infection (CAUTI): The urgent need to refocus on hardwiring prevention efforts[J]. Infect Control Hosp Epidemiol202243(1):26-31.
[11]
中国研究型医院学会护理分会项目组.中等长度静脉导管临床应用专家共识[J].中华护理杂志202055(S2):242-250.
[12]
许志娟,李秀轻,孔晔宏,等.成年患者中线导管留置与维护的最佳证据总结[J].护理学报202229(1):41-46.
[13]
Karimata H, Nishimaki T, Oshita A, et al.Acute phlegmonous esophagitis as a rare but threatening complication of chemoradiotherapy:report of a case[J].Surg Today201444(6):1147-1151.
[14]
张端,毛苗苗,张帆,等.食管炎合并食管破裂1例病例报道[J].中国实验诊断学201822(12):2183-2184.
[15]
Huang YC, Cheng CY, Liao CY, et al.A Rare Case of Acute Phlegmonous Esophagogastritis Complicated with Hypopharyngeal Abscess and Esophageal Perforation[J].Am J Case Rep201718:125-130.
[16]
Li G, Li H, Feng X, et al.Dysphagia and thickened esophageal wall: the application of ultra-slim gastroscope in the diagnosis and treatment of phlegmonous esophagitis[J].Endoscopy202557(S01):E398-E399.
[17]
Tripathi S, Kumar S, Kaushik S.The Practice and Complications of Midline Catheters:A Systematic Review[J].Crit Care Med202149(2):e140-e150.
[18]
Urtecho M, Torres Roldan VD, Nayfeh T, et al.Comparing Complication Rates of Midline Catheter vs Peripherally Inserted Central Catheter. A Systematic Review and Meta-analysis[J].Open Forum Infect Dis202310(2):ofad024.
[19]
Tao F, Wang X, Liu J, et al.Perioperative application of midline catheter and PICC in Patients with gastrointestinal tumors[J].J BUON201924(6):2546-2552.
[20]
王瑞雪,陈文香,相梅.急危重症患者经外周静脉置入中等长度导管致静脉血栓的危险因素分析[J].中国医师进修杂志202548(4):361-364.
No related articles found!
阅读次数
全文


摘要


AI


AI小编
你好!我是《中华医学电子期刊资源库》AI小编,有什么可以帮您的吗?