切换至 "中华医学电子期刊资源库"

中华胃肠内镜电子杂志 ›› 2026, Vol. 13 ›› Issue (01) : 69 -71. doi: 10.3877/cma.j.issn.2095-7157.2026.01.015

病例报告

内镜黏膜下剥离术治疗胃窦刺入性订书钉1例
苏晓娟1, 陈玉杰2, 于晓欢2, 张津3, 熊英2,4,()   
  1. 1050017 石家庄,河北医科大学研究生学院
    2071000 保定,保定市第一中心医院内镜诊疗中心
    3067000 承德,承德医学院研究生学院
    4071000 保定,保定市第一中心医院消化内科
  • 收稿日期:2025-11-17 出版日期:2026-02-15
  • 通信作者: 熊英

Endoscopic submucosal dissection for a penetrating staple in the gastric antrum:A case report

Xiaojuan Su, Yujie Chen, Xiaohuan Yu   

  • Received:2025-11-17 Published:2026-02-15
引用本文:

苏晓娟, 陈玉杰, 于晓欢, 张津, 熊英. 内镜黏膜下剥离术治疗胃窦刺入性订书钉1例[J/OL]. 中华胃肠内镜电子杂志, 2026, 13(01): 69-71.

Xiaojuan Su, Yujie Chen, Xiaohuan Yu. Endoscopic submucosal dissection for a penetrating staple in the gastric antrum:A case report[J/OL]. Chinese Journal of Gastrointestinal Endoscopy(Electronic Edition), 2026, 13(01): 69-71.

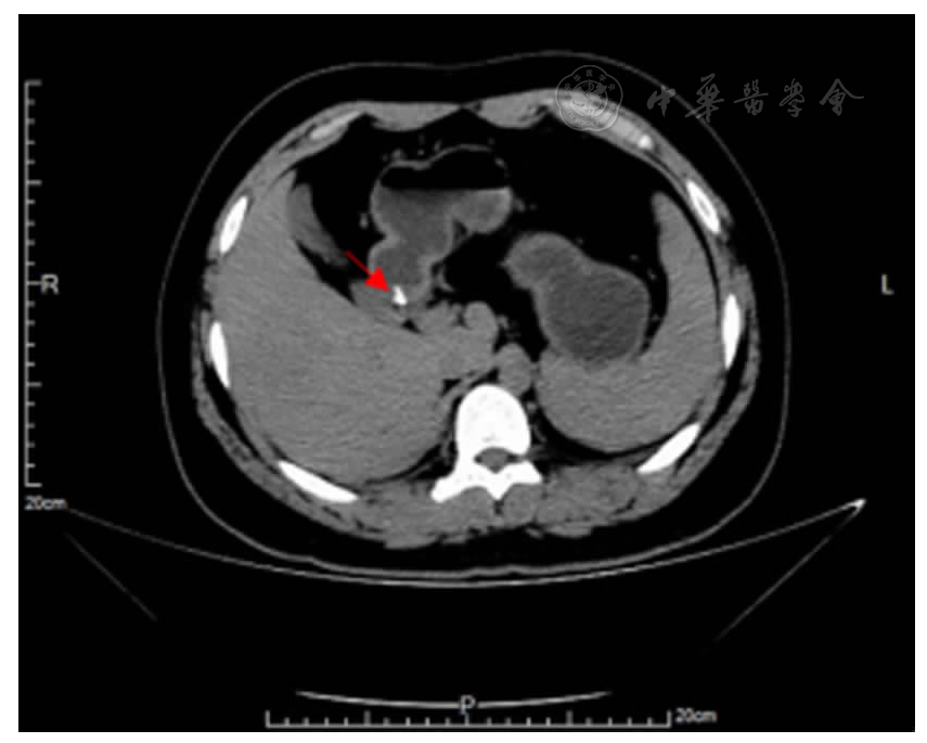
图1 腹部CT提示胃窦区胃壁及胃腔内V形高密度影
图2 胃镜检查注:A:胃窦大弯前壁近幽门可见金属针样异物;B:异物钳反复尝试不能取出
图3 胃内异物经ESD取出的内镜过程注:A:胃窦前壁近幽门黏膜隆起,中央可见异物末端;B:黏膜下注射;C:黏膜切开刀剥离隆起表面黏膜其内可见异物;D:异物钳取出异物;E:止血夹夹闭创面;F:胃内异物
[1]
中华医学会消化内镜学分会.中国上消化道异物内镜处理专家共识意见(2015年,上海)[J].中华消化内镜杂志201633(1):19-28.
[2]
Bekkerman M, Sachdev AH, Andrade J, et al.Endoscopic Management of Foreign Bodies in the Gastrointestinal Tract:A Review of the Literature[J].Gastroenterol Res Prac20162016: 8520767.
[3]
WangX, Su S, Chen Y, et al.The removal of foreign body ingestion in the upper gastrointestinal tract:a retrospective study of 1,182 adult cases[J].Ann Transl Med20219(6):502.
[4]
Geng C, Li X, Luo R, et al.Endoscopic management of foreign bodies in the upper gastrointestinal tract:a retrospective study of 1294 cases[J].Scan J Gastroenterol, 201752(11):1286-1291.
[5]
Xie R, Tuo BG, Wu HC.Unexplained abdominal pain due to a fish bone penetrating the gastric antrum and migrating into the neck of the pancreas:A case report[J].World J Clin Cases20197(6):805-808.
[6]
Stojkovic S, Bjelakovic M, Stojkovic Lalosevic M, et al.Accidental Sewing Pin Ingestion by a Tailor:A Case Report and Literature Review[J].Medicina (Kaunas, Lithuania)202359(9):1566.
[7]
Yu S, Su S, Shao X, et al.Misdiagnosis of acute pancreatitis in a patient with foreign body ingestion:a case report and literature review[J].Am J Transl Res, 202214(11):8286-8291.
[8]
Dal F, Hatipoglu E, Teksöz S, et al.Foreign body:A sewing needle migrating from the gastrointestinal tract to pancreas[J].Turkish J Surg201834(3):256-258.
[9]
Birk M, Bauerfeind P, Deprez PH, et al.Removal of foreign bodies in the upper gastrointestinal tract in adults:European Society of Gastrointestinal Endoscopy (ESGE) Clinical Guideline[J].Endoscopy201648(5):489-496.
[10]
林金欢,徐晖,李兆申.上消化道异物内镜处理进展[J].中华消化内镜杂志2015, 32(12):864-866.
[11]
Su W, Jiang Q, Yang X, et al.The safety and efficacy of endoscopic submucosal fenestration in the treatment of completely embedded upper gastrointestinal foreign body[J].Surg Endosc202438(7):3819-3827.
[12]
Mao L, Dong T, Lu W, et al.Endoscopic submucosal dissection for exploration and removal of a gastric buried foreign body[J].Rev Esp Enferm Dig2022, 114(11): 685-686.
[13]
Carvalho AC, Pires F, Araújo R.Removal of an embedded foreign body in the stomach by a technique of endoscopic submucosal dissection[J].Dig Endosc, 202234(1):e1-e2.
[14]
Chen ZC, Chen GQ, Chen XC, et al.Endoscopic extraction of a submucosal esophageal foreign body piercing into the thoracic aorta:A case report[J].World J Clin Cases202210(8):2484-2490.
[15]
Wander P, Trindade AJ, Grimaldi G, et al.Endoscopic Submucosal Dissection Technique for Removing a Perforating Foreign Body[J].Am J Gastroenterol, 2020115(9):1390-1392.
No related articles found!
阅读次数
全文


摘要


AI


AI小编
你好!我是《中华医学电子期刊资源库》AI小编,有什么可以帮您的吗?