切换至 "中华医学电子期刊资源库"

中华胃肠内镜电子杂志 ›› 2023, Vol. 10 ›› Issue (02) : 138 -140. doi: 10.3877/cma.j.issn.2095-7157.2023.02.012

病例报告

食管内镜黏膜下剥离术后迟发性动脉出血1例
智佳, 冯佳(), 刘宗, 冯子坛, 于佳, 王春华, 靳海峰   
  1. 050082 石家庄,联勤保障部队第980医院消化内科
  • 收稿日期:2023-03-21 出版日期:2023-05-15
  • 通信作者: 冯佳
  • 基金资助:
    河北省医学科学研究重点课题(20170204)

Delayed arterial bleeding after esophageal endoscopic submucosal dissection: a case report

Jia Zhi, Jia Feng(), Zong Liu   

  • Received:2023-03-21 Published:2023-05-15
  • Corresponding author: Jia Feng
引用本文:

智佳, 冯佳, 刘宗, 冯子坛, 于佳, 王春华, 靳海峰. 食管内镜黏膜下剥离术后迟发性动脉出血1例[J/OL]. 中华胃肠内镜电子杂志, 2023, 10(02): 138-140.

Jia Zhi, Jia Feng, Zong Liu. Delayed arterial bleeding after esophageal endoscopic submucosal dissection: a case report[J/OL]. Chinese Journal of Gastrointestinal Endoscopy(Electronic Edition), 2023, 10(02): 138-140.

内镜黏膜下剥离术(endoscopic submucosal dissection,ESD)是目前早期消化道癌以及癌前病变的重要治疗手段,能将黏膜病变进行完整切除。ESD术后出血是最常见的并发症之一,相较于胃ESD术后出血,食管ESD和肠道ESD术后出血更为少见[1-2]。联勤保障部队第980医院消化内科1例食管高级别上皮内瘤变行ESD术后出现迟发性动脉出血,通过外科手术止血成功。目前ESD开展广泛,但食管ESD术后迟发性动脉出血罕见,现报道如下。

图1 病变白光下形态
图2 病变复方碘染色后形态
图3 ESD术后创面
图4 黏膜下肿物ESD后部分暴露
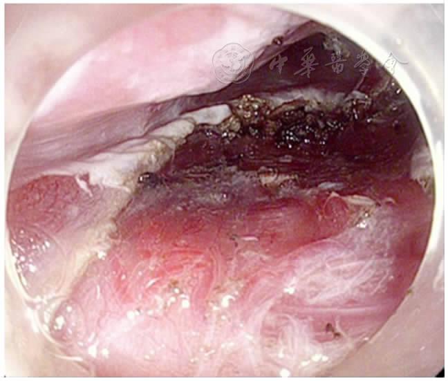
图5 喷射性出血
图6 气管插管后再次胃镜检查
图7 术中见3支粗大固有动脉
图8 术中止血后再次胃镜检查
图9 术后5个月ESD处黏膜瘢痕样改变
图10 术后5个月ESD处黏膜瘢痕样改变
图11 术后5个月黏膜下隆起
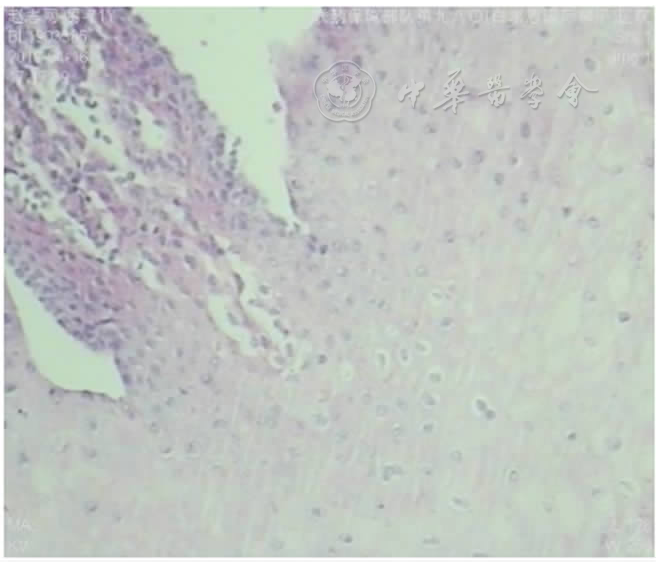
图12 术后5个月ESD处黏膜活检病理
[1]
Yosuke KYosuke TYoshiki S,et al.Bleeding after endoscopic submucosal dissection:risk factors and preventive methods[J].World J Gastroenterl201622(26):5927-5935.
[2]
Tsujii YNishida TNishiyama O,et al.Clinical outcomes of endoscopic submucosal dissection for superficial esophageal neoplasms:a multicenter retrospective cohort study[J].Endoscopy201547(9): 775-783.
[3]
van Vilsteren FGIPouw REHerrero LA,et al.Learning to perform endoscopic resection of esophageal neoplasia is associated with significant complications even within a structured training program[J].Endoscopy2012, 44(1): 4-12.
[4]
Joon Sung Kim BK.Efficacy and safety of endoscopic submucosal dissection for superficial squamous esophageal neoplasia:a metA-analysis[J]. Dig Dis Sci201459(8): 1862-1869.
[5]
Bai YCai JTChen YX,et al.Chinese Society of Digestive Endoscopy. Expert consensus on perioperative medications during endoscopic submucosal dissection for gastric lesions (2015, Suzhou, China)[J].J Dig Dis, 201617(12):784-789.
[6]
Lim SMPark JCLee Hey,et al.Impact of cumulative time on the clinical outcomes of endoscopic submucosal dissection in gastric neoplasm[J].Surg Endosc201327(4):1397-1403.
[7]
Yu XinyingLiu OngXue Liyan,et al.Risk factors for complications after endoscopic treatment in Chinese patients with early esophageal cancer and precancerous lesions[J].Surg Endosc202135(5):2144-2153.
[8]
Koh RHirasawa KYahara S,et al.Antithrombotic drugs are risk factors for delayed postoperative bleeding after endoscopic submucosal dissection for gastric neoplasms[J].Gastrointest Endosc201378(3):476- 483.
[9]
Matsumura TArai MMaruoka D,et al.Risk factors for early and delayed post-operative bleeding after endoscopic submucosal dissection of gastric neoplasms, including patients with continued use of antithrombotic agents[J].BMC Gastroenterol201414:172.
[10]
胡兵,唐承薇.消化道动脉性出血多学科处理[C].2012中国消化系疾病学术大会论文集,2012:125-126.
[11]
贾中芝,蒋国民.食管支架致消化道大出血一例[J].中华胃肠外科杂志201821(3):356-356.
[12]
卢忠生,令狐恩强,黄启阳,等.内镜黏膜下剥离术治疗消化道早期癌及癌前病变[J].中华消化内镜杂志200825(11):578-583.
[13]
Shinichi MSongde CShinya N,et al.Postprocedural combined treatment using the coagulation plus artery-selective clipping (2C) method for the prevention of delayed bleeding after ESD[J].Surg Endosc, 201327(4):1292-1301.
No related articles found!
阅读次数
全文


摘要


AI


AI小编
你好!我是《中华医学电子期刊资源库》AI小编,有什么可以帮您的吗?