切换至 "中华医学电子期刊资源库"

中华胃肠内镜电子杂志 ›› 2023, Vol. 10 ›› Issue (02) : 141 -143. doi: 10.3877/cma.j.issn.2095-7157.2023.02.013

病例报告

肝内胆管细胞癌误诊为肝脓肿1例
张鹏, 熊英, 韩静, 张金卓()   
  1. 071000 保定,保定市第一中心医院消化内三科;067000 承德,承德医学院研究生学院
    071000 保定,保定市第一中心医院消化内三科
  • 收稿日期:2023-01-04 出版日期:2023-05-15
  • 通信作者: 张金卓

Intrahepatic cholangiocarcinoma was misdiagnosed as a liver abscess: a case report

Peng Zhang, Ying Xiong, Jing Han   

  • Received:2023-01-04 Published:2023-05-15
引用本文:

张鹏, 熊英, 韩静, 张金卓. 肝内胆管细胞癌误诊为肝脓肿1例[J/OL]. 中华胃肠内镜电子杂志, 2023, 10(02): 141-143.

Peng Zhang, Ying Xiong, Jing Han. Intrahepatic cholangiocarcinoma was misdiagnosed as a liver abscess: a case report[J/OL]. Chinese Journal of Gastrointestinal Endoscopy(Electronic Edition), 2023, 10(02): 141-143.

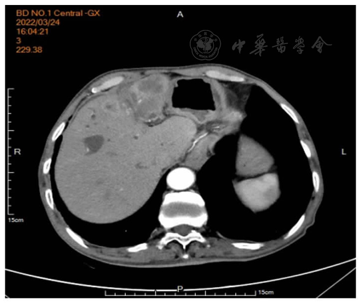
患者男,71岁。主因"右上腹痛伴黄疸1月"于2022年3月11日收入保定市第一中心医院消化内三科。患者1月前无明显诱因出现右上腹部疼痛,呈持续性钝痛,并向肩背部放射,伴发热,体温维持在37.8℃左右,以午后为重,伴寒战、皮肤及小便发黄、偶有恶心、无呕吐、体重下降约2.5 kg。既往19年前因"胆管结石"行"胆总管切开取石及胆道镜下肝内胆管取石术";1年前又因"胆囊结石"行"胆囊切除术"。入院查体:T 37.6℃、P 70次/分、R 17次/分、BP 120/80 mmHg,神志清楚、精神差、结膜无苍白、巩膜黄染、周身浅表淋巴结未触及肿大、心肺查体无异常、腹平软、上腹部可见手术疤痕,有压痛、无反跳痛及肌紧张、肝脾肋下未触及、肝区叩击痛阳性、移动性浊音阴性、肠鸣音正常。入院后辅助检查:血常规:白细胞7.70×109/L、血红蛋白117.00 g/L、血小板226.00×109/L、中性粒细胞比率72.20%;肝功:丙氨酸氨基转移酶46.60 U/L、天门冬氨酸氨基转移酶41.10 U/L、白蛋白36.90 g/L、总胆红素52.60 μmol /L、直接胆红素36.00 μmol/L、间接胆红素16.60 μmol/L、γ-谷氨酰转肽酶620.00 U/L、碱性磷酸酶337.20 U/L;肿瘤标记物:AFP 2.02 ng/ml、CEA 1.62 ng/ml、CA-19927.26 IU/ml;门诊上腹部CT提示:肝左叶体积小;胆总管下段高密度影,结石?考虑低位胆道梗阻。初步诊断:胆总管结石伴化脓性胆管炎。给予抗感染、保肝、抑酸、补液等支持治疗。于2022年3月14日经内镜中心行经内镜逆行胰胆管造影术(endoscopic retrograde cholangiopancreatography,ERCP)取石,术中泛影葡胺造影可见胆总管扩张1.2 cm,下端约见1.0 cm充盈缺损影,胆总管上段不规则充盈缺损影,肝内胆管未见异常,弓形电刀沿乳头11点方向切开约0.3 cm,1.2 cm扩张球囊扩张乳头,取石网篮取出黄褐色结石及黄白色脓性分泌物(图1),术后置入鼻胆引流管,胆汁引流通畅。术后给予暂禁食水、抑酸、补液等综合治疗。患者仍感腹痛,体温最高达38℃,术后第3天复查腹部CT示:ERCP术后改变,肝内胆管扩张;肝顶稍低密度。当时考虑患者腹痛为鼻胆管刺激所致,遂予拔除。复查血常规及肝功能较术前无明显变化,C反应蛋白:37.30 mg/L、血淀粉酶及脂肪酶正常,考虑胆管内感染脓液引流不畅,于3月21日再次行ERCP术:术中胆管造影仍提示胆总管内不规则充盈缺损影,用取石球囊取出大量黄白色脓性分泌物(图2),术毕置入8.5Fr-8 cm塑料胆管支架(图3)。术后患者腹痛仍不能缓解,并出现持续高热,体温最高达38.9℃,抗生素升级为比阿培南0.3 g,12 h 1次静脉点滴。同时口服熊去氧胆酸胶囊250 mg,每日3次,监测肝功能及炎症指标。3月24日行上腹增强CT示:肝顶多发异常强化,考虑肝脓肿可能(图6)。因治疗效果不佳,请感染性疾病科会诊后仍建议继续抗感染治疗,监测炎症指标及脓肿影像学变化,尽可能穿刺引流以缩短病程,并留取血培养以明确致病菌。遂调整比阿培南0.3 g,8 h 1次、加用莫西沙星0.4 g,每日1次联合抗感染,同时加用人血白蛋白支持对症治疗。患者腹痛及发热症状仍无明显缓解,3月31日进行上腹MRI平扫+增强检查提示为肝内多发异常信号,肝内外胆管及胆总管扩张,肝门区胆管截断,肝门区淋巴结肿大(图7)。复查腹部彩超提示肝脓肿,液化不明显,不易穿刺。于2022年4月6日加用去甲万古霉素抗感染治疗,患者治疗效果欠佳。再次请普外科会诊,仔细阅片考虑肝门区胆管截断,肝内多发不均低密度,不除外恶性肿瘤可能,建议穿刺活检。超声造影提示肝内不均质回声,倾向炎性病变,因周边血管丰富穿刺出血风险高,不宜进行穿刺活检。此时患者内科保守治疗效果不佳,恶性肿瘤不能除外,经与患者及家属反复沟通,建议手术治疗,于4月4日转入普外科并行手术探查,术中发现肝左叶萎缩、质硬,多发肿物突出肝表面,右肝未见明显肿物,腹腔广泛粘连,肝门部多发肿大淋巴结,术后病理证实为左半肝低分化胆管细胞癌(图8)。患者术后腹痛好转,体温恢复正常,家属拒绝进一步治疗,自动出院,离院后1个月病逝。

图1 取石网篮取出黄褐色结石及黄白色脓性分泌物
图2 取石球囊取出大量黄白色脓性分泌物
图3 导丝引导下置入8.5Fr-8 cm塑料胆管支架
图6 3月24日上腹部增强CT:肝内外胆管扩张,肝顶多发异常强化
图7 3月31日上腹部增强MRI:肝内多发异常信号,肝内外胆管及胆总管扩张,肝门区胆管截断,肝门区淋巴结肿大
图8 病理诊断提示:低分化胆管细胞癌
图4 3月14日ERCP下左半肝肝内胆管不显影,肝门部胆管截断
图5 3月21日ERCP下左半肝肝内胆管不显影,肝门部胆管截断
[1]
Bray FFerlay JSoerjomataram I,et al.Global cancer statistics 2018:GLOBOCAN estimates of incidence and mortality world wide for 36 cancers in 185 countries[J].CA Cancer J Clin201868(6):394-424.
[2]
国际肝胆胰学会中国分会,中华医学会外科学分会肝脏外科学组.胆管癌诊断与治疗-外科专家共识[J].临床肝胆病杂志2015, 31(1): 12-16.
[3]
胆道肿瘤专家委员会.CSCO胆道系统肿瘤诊断治疗专家共识(2019年版)[J].临床肿瘤学杂志201924(9):828-838.
[4]
科技部传染病防治重大专项课题"病毒性肝炎相关肝癌外科综合治疗的个体化和新策略"专家组.肝内胆管癌外科治疗中国专家共识(2020版)[J].中华消化外科杂志202120(1):1-15.
[5]
黄家驷外科学[M].北京:人民卫生出版社,2008:1697.
[6]
王冲,程石.肝内胆管癌-国内外专家共识及指南解读[J].外科理论与实践202126(2):124-129.
[7]
朱霞,王威亚,唐红.肝内胆管细胞癌合并肝脓肿1例报道[J].胃肠病学和肝病学杂志201625(12):1340-1344.
[8]
苏展,李文美,杨小勇.以发热为主要表现的肝癌的诊治[J].中国实用医药20138(10):49-50.
[9]
刘鹏飞,徐雯,刘凯,等.不典型肝脓肿与肝癌的鉴别诊断[J].外科研究与新技术20198(3):187-188,193.
[10]
郭琪,袁知东.肝内胆管细胞癌的MSCT诊断价值[J].中国CT和MRI杂志20108(2):25-27.
[11]
吴华超,魏小宾.CT三期增强扫描在肝脓肿诊断中的价值[J].实用医技杂志200815(13):1663-1664.
[12]
邢毓.探究MRI诊断在肝内胆管细胞癌中的应用效果[J].影像研究与医学应用20226(19):119-121.
[13]
孙富强,贺军,司遂海,等.磁共振胰胆管成像与经内镜逆行胰胆管造影对胆道梗阻性疾病诊断价值的比较[J].中国内镜杂志201117(4):389-391.
[14]
王彤,宋光,唐印华.内镜诊断良恶性胆管狭窄的研究进展[J].现代消化及介入诊疗202126(1):117-121.
[15]
中华人民共和国国家卫生健康委员会医政医管局.原发性肝癌诊疗指南(2022年版) [J].中华肝脏病杂志202230(4):367-388.
No related articles found!
阅读次数
全文


摘要


AI


AI小编
你好!我是《中华医学电子期刊资源库》AI小编,有什么可以帮您的吗?