切换至 "中华医学电子期刊资源库"

中华胃肠内镜电子杂志 ›› 2023, Vol. 10 ›› Issue (04) : 285 -287. doi: 10.3877/cma.j.issn.2095-7157.2023.04.012

病例报告

食管炎性肌纤维母细胞瘤的超声内镜表现1例
王婷, 邹百仓, 马师洋, 董蕾, 史海涛()   
  1. 710004 西安,西安交通大学第二附属医院消化内科,陕西省胃肠动力疾病重点实验室,陕西省胃肠疾病临床研究中心
  • 收稿日期:2023-10-13 出版日期:2023-11-15
  • 通信作者: 史海涛

Perfomance of esophageal inflammatory myofibroblastic tumor with endoscopic ultrasonography

Ting Wang, Baicang Zou, Shiyang Ma   

  • Received:2023-10-13 Published:2023-11-15
引用本文:

王婷, 邹百仓, 马师洋, 董蕾, 史海涛. 食管炎性肌纤维母细胞瘤的超声内镜表现1例[J/OL]. 中华胃肠内镜电子杂志, 2023, 10(04): 285-287.

Ting Wang, Baicang Zou, Shiyang Ma. Perfomance of esophageal inflammatory myofibroblastic tumor with endoscopic ultrasonography[J/OL]. Chinese Journal of Gastrointestinal Endoscopy(Electronic Edition), 2023, 10(04): 285-287.

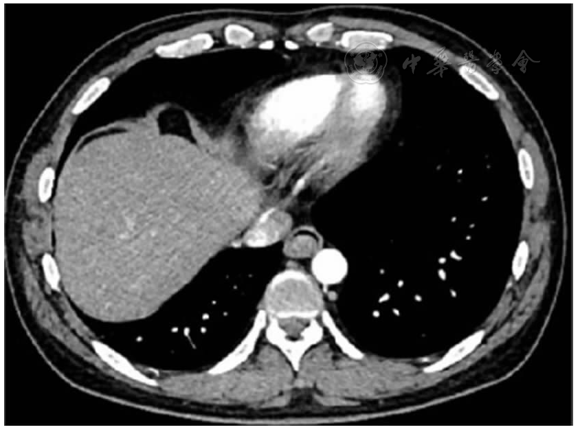
临床资料:患者男,40岁,因"发现食管下端占位性病变2月余"于2022年06月09日收入西安交通大学第二附属医院消化内科。患者自诉:2月前因胸闷气短于外院就诊,查冠脉CTA提示:左前降支近端阶段性轻度狭窄,胸部食管下段软组织密度影,考虑占位性病变。外院胃镜检查示食管隆起性病变(性质结合病理),病理活检诊断报告:(食管)病变组织被覆鳞状上皮,上皮增生,其下间质可见炎性细胞浸润。建议行超声胃镜检查。近期患者自觉反酸烧心,无吞咽障碍,无其他不适症状来我院就诊。入院后实验室检查血尿粪常规、凝血功能、肝肾功、电解质、男性肿瘤标志物全套无明显异常。2022年6月14日本院内镜检查提示:食管下段距门齿35 cm可见一大小约2.5 cm × 1.5 cm不规则隆起性病灶,表面光滑,局部发红,稍凹陷,向腔内生长(图1)。超声内镜(endoscopic ultrasonography,EUS)检查示:食管病变处扫描见黏膜深层及黏膜下层不均匀偏低回声占位,内部未见血流,局部与黏膜层粘连,黏膜下层未中断,固有肌层未见异常占位,壁外、纵隔内未见肿大淋巴结;病变最大截面大小约29.7 mm×12.9 mm。诊断:食管隆起性病变考虑黏膜深层及黏膜下层偏低回声占位(图2)。胸部增强CT示:食管下段管壁增厚并结节状凸向腔内,管腔呈偏心性狭窄,增强后管壁呈渐进性强化;诊断:食管下段肿瘤性病变待排(图3)。上腹部平扫及增强CT未见明显异常。无明显手术禁忌,2022年6月15日在气管插管全麻下行内镜下黏膜剥离术(endoscopic submucosal dissection,ESD),完整切除病灶(图4)。

图1 内镜下食管下段可见一柱状隆起性病灶,表面光滑,向腔内生长
图2 超声内镜检查注:A:超声内镜血流图示病变内部未见血流型号;B:病变处扫描见黏膜深层及黏膜下层不均匀偏低回声占位,黏膜下层未见中断,病变最大截面大小约29.7 mm×12.9 mm
图3 食管下段结节状占位性病变凸向管腔
图4 ESD手术切除后大体标本
图5 病理示(食管)炎性肌纤维母细胞瘤(HE×10)
[1]
Jo VY, Fletcher CD. WHO classification of soft tissue tumours: An update based on the 2013 (4th) edition[J].Pathology201446(2):95-104.
[2]
王秋鹏,甘梅富,张建伟,等.胃肠道炎性肌纤维母细胞瘤的临床病理学分析[J] .中华病理学杂志201847 (10): 758-762.
[3]
Gros LDei Tos APJones RL,et al.Inflammatory Myofibroblastic Tumour: State of the Art[J].Cancers (Basel)202214(15):3662.
[4]
Siemion KReszec-Gielazyn JKisluk J,et al.What do we know about inflammatory myofibroblastic tumors- A systematic review[J].Adv Med Sci202267(1):129-138.
[5]
朱岩,丁颖,宋国新,等.炎性肌纤维母细胞肿瘤临床病理学分析[J] .中华病理学杂志202150(3):194-200.
[6]
Mamone GDi Piazza ACarollo V,et al.Imaging of primary malignant tumors in non-cirrhotic liver[J].Diagn Interv Imaging, 2020, 101(9): 519-535.
[7]
Song WZhu Y.Clinical characteristics and outcomes of 17 cases of inflammatory myofibroblastic tumor at a University Hospital in China[J].Oncol Lett202121(1):51.
[8]
Wang YShen LYun T,et al.Clinicopathological features of gastric inflammatory myofibroblastic tumor: Report of five cases[J].Exp Ther Med202122(3):948.
[9]
Cruz-Ruiz MAGonzalez-Ibarra FPDiaz-Becerril LA,et al. Inflammatory myofibroblastic tumor of the esophagus treated by endoscopy[J].Dis Esophagus201326(3):323-326.
[10]
Jayarajah UBulathsinghala RPHandagala DMS,et al. Inflammatory myofibroblastic tumor of the esophagus presenting with hematemesis and melaena: a case report and review of literature[J]. Clin Case Rep20176(1):82-85.
[11]
Marchi SCosta FMumolo MG,et al.Post-traumatic inflammatory pseudotumor of the esophagus[J].Gastrointest Endosc200154(3): 397-399.
[12]
唐岚,王智昊,李星花,等.食管巨大炎性肌纤维母细胞瘤一例[J].中华消化内镜杂志201229(12): 711-712.
[13]
Muñoz Moya JEAlfaro Aguirre MOLeiva Silva M,et al.Tumor miofibroblástico inflamatorio: Presentación variable de una misma patología Inflammatory myofibroblastic tumor: Variable presentation of the same pathology[J].Rev Chil Pediatr201990(3):328-335.
[14]
Lacka DE, Nasierowska-Guttmejer A. Fibromatosis-immunohistochemical evaluation,differential diagnosis from gastrointestinal tumors, and other mesenchymal tumours[J]. Prz Gastroenterol201914(1):79-85.
[15]
Bennett JACroce SPesci A,et al.Inflammatory Myofibroblastic Tumor of the Uterus: An Immunohistochemical Study of 23 Cases[J]. Am J Surg Pathol202044(11):1441-1449.
[16]
Coffin CMWatterson JPriest JR,et al.Extrapulmonary inflammatory myofibroblastic tumor (inflammatory pseudotumor).A clinicopathologic and immunohistochemical study of 84 cases[J].Am J Surg Pathol199519(8):859-872.
[17]
Cheng BYang CLiu Z,et al.Primary gastric inflammatory myofibroblastic tumor: A case report[J]. Medicine (Baltimore), 201897(50):e13423.
[18]
Jadhav MHarvi RPatil R,et al.Inflammatory Myofibroblastic Tumor of the Stomach Presenting as an Exophytic Mass-A Diagnostic Dilemma[J].Turk Patoloji Derg201935(2):151-156.
[19]
Coffin CMHornick JLFletcher CD.Inflammatory myofibroblastic tumor:comparison of clinicopathologic, histologic, and immunohistochemical features including ALK expression in atypical and aggressive cases[J].Am J Surg Pathol200731(4): 509- 520.
[20]
Surabhi VRChua SPatel RP,et al.Inflammatory Myofibroblastic Tumors:Current Update[J].Radiol Clin North Am201654(3):553- 563.
No related articles found!
阅读次数
全文


摘要


AI


AI小编
你好!我是《中华医学电子期刊资源库》AI小编,有什么可以帮您的吗?